Криптофизический комитет
!
Проект «INSIDE»
Карта сайта
НЕЗАВИСИМЫЕ ИССЛЕДОВАНИЯ В ОБЛАСТИ КРИПТОФИЗИКИ
ИССЛЕДОВАНИЯ
ПРОЕКТЫ
НАШ ОПРОС
Что такое НЛО?
Всего ответов: 37

СТАТИСТИКА САЙТА



Сейчас на сайте: 1
Гостей: 1
Пользователей: 0

Главная » Проекты комитета » Проект «INSIDE»

Современные аспекты и перспективы в изучении работы эпифиза
Автор: Кирилл Бровченко
Версия для печати

Краткие сведения об истории изучения эпифиза

История развития представлений о значении и функциях эпифиза – один из ярких примеров взлетов и падений на пути познания. В глубокой древности, за 2000 лет до нашей эры, был расцвет учения об эпифизе. Ученые и философы Древней Индии, Древней Греции считали его органом ясновидения и отводили роль «центра души». Первое анатомическое описание эпифиза было сделано Галеном. Основываясь на том наблюдении, что эпифиз расположен вблизи большой внутримозговой вены, Гален выдвинул предположение, что он является регулятором лимфатических желез.
 

Клавдий Гален (129 или 131 год – около 200 или 217 года)

Леонардо да Винчи утверждал, что эпифиз является местом обитания души; позже было высказано предположение, что это своего рода клапан между желудочком и сильвиевым водопроводом мозга.
 

Леонардо да Винчи (15 апреля 1452 – 2 мая 1519 гг.)

Интерес к эпифизу проявлял также великий анатом эпохи Возрождения А.Везалий. Он дал первые изображения этого органа, сравнив его с сосновой шишкой; его сравнение в дальнейшем закрепилось в названии эпифиза «пинеальная железа».
 

Андреас Везалий (31 декабря 1514 – 15 октября 1564 гг.)

Не обошел своим вниманием эпифиз и французский ученый XVII века Р.Декарт, который считал, что этот орган распределяет животные духи между различными частями тела. Им же были предприняты попытки объяснения психических заболеваний в связи с нарушением строения эпифиза. Следует отметить, что это была одна из первых попыток связи мозга и его непосредственным участием с развитием психической патологией.
 

Рене Декарт (31 марта 1596 – 11 февраля 1650 гг.)

Затем в продолжение многих десятилетий интерес к эпифизу угас, появлялись лишь отдельные работы по эмбриологии и сравнительной анатомии железы.
 
Новые взлеты и открытия

Новую волну признания шишковидная железа претерпевает с конца 50-х годов XX столетия, когда в 1959 году американский дерматолог Аарон Лернер с сотрудниками из экстрактов пинеальных желез быка идентифицировал фактор, просветляющий пигментальные клетки головастиков; фактор был назван мелатонином. (Следует также отметить о циркадности мелатонина: его уровень в крови максимален днем и минимален в темные, ночные часы.) Примерно в эти же годы другой исследователь – Фаррелл – доказал, что эпифиз выделяет фактор, стимулирующий выработку альдостерона в надпочечниках и, таким образом, влияющий на водно-солевой обмен. Впоследствии этот фактор был назван адреногломерулотропином.
 

Химическая формула мелатонина

С тех пор начали появляться сотни научных работ, посвященных изучению самых разнообразных сторон действия эпифиза в организме. 1970-е годы вновь вернули интерес к эпифизу, его морфологии и функции. Десятки лабораторий в США, Франции, Румынии, Югославии, Англии и других странах включились в своеобразное соревнование по его изучению. Появляются десятки работ, сообщений, собираются симпозиумы и конференции, на которых предпринимаются попытки обобщить полученные материалы, дать хоть примерную схему деятельности эпифиза в организме. Становится ясным, что эпифиз представляет собой активный нейроэндокринный орган со своими особенностями морфологии и функции. Более того, из эпифиза стали выделять биологически активные вещества, участвующие в регуляции деятельности других эндокринных органов.

Вместе с тем очевидно и то обстоятельство, что эпифиз до сих пор остается наименее исследованным эндокринным органом. Современный этап в изучении эпифиза с полным основанием можно назвать этапом первых находок, определения феноменов и построения исходных концепций. Точный же экспериментальный анализ эндокринных функций эпифиза находится лишь в начале своего пути.
 
Что известно об эпифизе современной науке?

Анатомически эпифиз принадлежит к надталамической области, или эпиталамусу; располагается в бороздке между верхними холмиками четверохолмия над третьим мозговым желудочком. Эпифиз имеет округлую форму; масса его у взрослого человека не превышает 0,2 г. На основании морфологических признаков эпифиз причисляют к органам, находящимся за пределом гематоэнцефалического барьера.
 

Топографическое расположение эпифиза в головном мозге

Гистологически различают паренхиму и соединительнотканную строму. Мягкая мозговая оболочка формирует капсулу эпифиза, от которой внутрь железы отходят соединительнотканные трабекулы, разделяющие ее на дольки. Таким образом, строма эпифиза представлена капсулой и соединительнотканными трабекулами. Паренхима эпифиза представлена двумя типами клеток, плотно прилежащих друг к другу: большими светлыми пинеалоцитами, составляющими 95% паренхимы эпифиза, и астроцитами (глиальными клетками), имеющими овальное ядро.

Если рассматривать физиологию эпифиза, то следует прежде всего принять во внимание факт, что достоверных морфологических признаков, позволяющих судить о секреторной функции органа, нет. Однако дольчатость и тесные контакты паренхиматозных клеток с соединительнотканными и нейроглиальными элементами позволяют судить о железистой структуре эпифиза. Изучение ультраструктуры клеток также показывает способность пинеалоцитов к выделению секреторного продукта. Кроме того, в цитоплазме пинеалоцитов обнаружены плотные пузырьки диаметром 30-50 нм, свидетельствующие о секреторном процессе. В эндотелии капилляров эпифиза найдены поры диаметром 2,5 – 4 нм. Капилляры с такой ультраструктурой обнаружены в гипофизе, щитовидной железе, паращитовидных и поджелудочной железах, т.е. в типичных органах внутренней секреции. По мнению Вольфа и А.М. Хелимского, поры в эндотелии капилляров являются еще одним признаком, указывающим на его секреторную функцию.  

Исследования последних лет установили, что эпифиз – метаболически активный орган. В его ткани обнаруживаются биогенные амины и ферменты, катализирующие процессы синтеза и инактивации этих соединений. Установлено, что в эпифизе происходит интенсивный обмен липидов, белков, фосфора и нуклеиновых кислот. Изучены три физиологически активных вещества, обнаруженных в эпифизе: серотонин, мелатонин, адреногломерулотропин. В эпифизе обнаружены пептидные гормоны и биогенные амины, что позволяет отнести его клетки (пинеалоциты) к клеткам APUD-системы. Эпифиз участвует в регуляции процессов, протекающих в организме циклически (например, овариально-менструальный цикл); деятельность эпифиза связывают с функцией поддержания биоритмов (смена сна и бодрствования). Основная роль в этих процессах отводится гормону мелатонину, продуцируемому паренхиматозными клетками эпифиза пинеалоцитами. Мелатонин (N-ацетил-5-метокситриптамин) является индольным соединением, вырабатываемым, помимо эпифиза, сетчаткой глаза и кишечником. Данный гормон образно называют «гормоном ночи», «Дракула-гормоном», «биохимическим аналогом темноты». Помимо регуляции циркадных ритмов, мелатонин подавляет гонадотропную секрецию и препятствует раннему половому созреванию. Разрушение этой железы, ее недоразвитие или удаление эпифиза у инфантильных животных в эксперименте приводит к наступлению преждевременного полового созревания.

В настоящее время доказанные биологические эффекты мелатонина многообразны: снотворный, гипотермический, антиоксидантный, противоопухолевый, адаптогенный, антистрессовый, антидепрессантный, иммуномодулирующий, противосудорожный.

В целом, без отклонений в работе эпифиза (а следовательно, и в первую очередь без патологии продукции мелатонина) не обходится ни одна человеческая патология. Это определяется следующими факторами:
- по мере старения организма эпифиз подвергается инволюции;
- с возрастом прогрессивно падает продукция мелатонина: уплощается, деформируется суточная кривая его плазменной концентрации;
- показана прямая зависимость от дефицита мелатонина ряда болезней нервной системы (инсомния, депрессия, невроз) и органических поражений мозга (болезнь Альцгеймера, болезнь Паркинсона и др.);
- эпифизарная недостаточность облегчает развитие онкологических заболеваний, иммунодефицитных состояний, ряда заболеваний внутренних органов (гипертоническая болезнь, ИБС, язвенная болезнь желудка и  двенадцатиперстной кишки и др.) и гинекологической патологии (дисменорея).

Исходя из вышеперечисленных биологических эффектов мелатонина, следует предположить его важную роль в терапии многих неврологических заболеваний, и в первую очередь – в сосудистых нарушениях головного мозга.
 

Примеры лекарственных препаратов мелатонина

Помимо мелатонина пинеалоциты образуют другой белковый гормон, повышающий уровень калия в крови, следовательно, участвующий в регуляции минерального обмена. Число регуляторных пептидов, продуцируемых пинеалоцитами, приближается к 40. Из них наиболее важными являются аргинин-вазотоцин, тиролиберин, люлиберин, тиротропин и др.  

Кроме того, эпифиз моделирует активность гипофиза, панкреатических островков поджелудочной железы, надпочечников, щитовидной и половых желез; модуляция активности эпифизом вышеперечисленных эндокринных желез носит в основном ингибиторный характер.
Большое внимание уделяется роли эпифиза в механизмах старения.
 
Роль эпифиза в механизмах старения

В 1959 году было установлено, что удаление эпифиза в молодом возрасте приводит к существенному уменьшению продолжительности жизни крыс по сравнению с контролем. В 1960 году румынский геронтолог Пархон сообщил о продлении жизни старых крыс с помощью вытяжки из эпифиза. В статье Анисимова, опубликованной в 1973 году, сообщалось о том, что пептидный экстракт эпифиза (получивший позднее название эпиталамин) восстанавливает у старых самок крыс чувствительность их гипоталамических половых центров к эстрогенам (механизм, которому придается ведущая роль в возрастном выключении репродуктивной функции).

В 1987 году Пьерпаоли и Маэстрони сообщили о том, что старые мыши, которым с питьевой водой на ночь давали мелатонин, жили на 20% дольше контрольных и выглядели явно бодрее последних. Пересадка в вилочковую железу или область эпифиза старых мышей эпифиза от молодых доноров также приводила к увеличению продолжительности жизни животных.  
 
Инволюционные изменения эпифиза

Значительно меньшее внимание уделяется возрастным изменениям в самом эпифизе. В базе библиографических данных Pubmed число ссылок на такие работы за период 1964 – 2001 гг. составляет около 30, в то время как общее число ссылок по теме «эпифиз и старение» за этот же период превышает 500.

В качестве отправной точки для анализа современных данных по старению эпифиза можно взять патоморфологическое исследование 2700 биопсийных препаратов, полученных у людей, которые погибли по разным причинам в возрасте от младенческого до 90 лет. В работе отмечено, что к 50 – 60 годам жизни происходит увеличение размеров эпифиза от 80 – 100 мг до 150 – 160 мг главным образом вследствие фиброза, который не связан с уменьшением числа паренхимальных клеток. В пинеалоцитах происходит возрастное уменьшение соотношения объемов ядра и цитоплазмы, указывающее на гипофункцию клеток. Таким образом, сделан вывод, что у людей не происходит истинной сенильной атрофии пинеальной железы.

По данным многих ученых, в среднем с 7-летнего возраста в соединительнотканной строме эпифиза начинают накапливаться кальциевые, фосфатные и карбонатные конкреции, называемые мозговым песком. С возрастом на рентгенограмме черепа в этом месте появляется характерная тень. Однако существует противоречие между общепринятыми представлениями о возрастной инволюции эпифиза и продолжительным сохранением его функций. О сохранении функций свидетельствует выделение в зрелом возрасте пинеалоцитами серотонина (в дневное время), который в них же превращается в мелатонин (в ночное время). Следовательно, с возрастом функции эпифиза снижаются, но не исчезают. Поэтому представляется актуальным изучение возрастных изменений эпифиза как у психически здоровых людей, так и при болезни Альцгеймера и шизофрении.
 


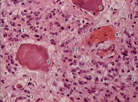
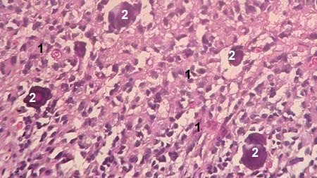
Гистологические препараты эпифиза, демонстрирующие мозговой песок (главным образом, отложения солей кальция):
на верхнем рисунке – под №2, на нижнем рисунке – под №1

В настоящее время науке известны следующие факты. В одном из научных исследований выявлялась зависимость образования конкреций в пинеалоцитах от их функциональной активности; исследование подтверждалось результатами компьютерной томографии 70 пациентов с эпилепсией в возрасте 9 – 58 лет. Было установлено, что частота случаев кальцификации эпифиза оказалась не связанной с возрастом и полом и была выше, если эпилептический фокус локализовался в правой височной доле (94%), чем когда он был локализован в левой доле (24%).

В 2009 году сотрудники Московского Института морфологии человека РАН сделали сообщение о том, что, вскрыв 360 мозгов умерших людей, 120 из которых при жизни страдали шизофрений, у последних эпифиз был практически не затронут временем и сохранял практически юношеское строение. В настоящее время сотрудниками Института разрабатывается методика диагностики и склонности человека к шизофрении с помощью применения магнитно-резонансного томографа.
 
И напоследок…

И в заключение хочется привести несколько интересных фактов. На основании данных современных исследований ученые приходят к гипотезе, что эпифиз, по всей вероятности, обладает способностью улавливать изменение электромагнитного фона. На это предположение наталкивает ряд фактов:
  • для перелетных птиц эпифиз является навигационном прибором;
  • при воздействии на организм человека электромагнитным полем работающих бытовых и промышленных электроприборов достоверно угнетается противоопухолевый эффект мелатонина;
  • корреляция ночного пика секреции мелатонина с ночными импульсами магнитного поля Земли, около 2 часов ночи;
  • положительные результаты при лечении различных заболеваний локальным дозированным облучением промежуточного мозга рентгеновскими лучами.
Если данная гипотеза получит свое научное подтверждение, тогда закономерно окажется очевидным, что организм человека посредством эпифиза или другого органа достаточно жестко сцеплен с гео- и гелиокосмическими процессами. И не эту ли связь человека и Космоса через эпифиз имели в виду древние мистики, называя шишковидную железу "Духовным Глазом"?
Похожие материалы:

!!! Полная перепечатка материалов запрещается!


Добавлено: 22.05.2015 | Просмотров: 4877 | Рейтинг: 5.0/1

Система OrphusЗаметили ошибку?
Выделите её и нажмите CTRL + ENTER
uComForm">
avatar

Главная | О нас | Новости | Пресса | Исследования | Проекты
Центральный архив | Библиотека | Карта наблюдений
Сообщить о наблюдении | Контакты | Форум